At your check up appointment, we will:
Examine your current dental condition
Take x-rays (if needed)
Scaling and polish your teeth
Discuss and plan any further procedures best-suited your needs
Implement any urgent treatment immediately

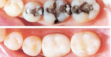
White fillings are tooth-coloured filling materials. They are the material of choice in our clinic. They look natural and are as strong as the silver fillings. White fillings can significantly improve the appearance of your teeth and smile.
Tooth whitening is a process known as oxidation. Any discolorations within the tooth will be lightened. Clinical studies have shown that bleaching with carbamide or hydrogen peroxide under the supervision of a dental professional is safe for teeth and gums. We utilize special blue light technology with office treatment. It takes about 45 minutes in chair.

Root canal treatment is designed to eliminate bacteria from the infected root canal, prevent reinfection of the tooth and save the natural tooth.

Dentures are removable prosthesis to replace missing teeth. It is the most common and more economical method to restore your bite and appearance.

A dental implant is an artificial tooth root that is placed into your jaw to hold a replacement tooth or bridge.

Discoloured teeth with multiple restorations of an unsatisfactory nature. They were non vital and restored with porcelain fused to metal crowns over posts and cores.

A dental bridge is a false tooth (called a pontic) that is held in place by the abutment teeth on either side of the gap

When teeth are not restorable or have to be removed due to various reasons. We will endeavor to take care of you with tender love and care.

We offer in-chair wisdom teeth removal under local anaesthetic.
Additionally, we can provide various treatments under Nitrous Oxide intravenous sedation.

For eligible patients aged 2-17 years.
Claim your child's dental benefits with NO out of pocket expenses.
We use cookies to analyze website traffic and optimize your website experience. By accepting our use of cookies, your data will be aggregated with all other user data.